All on 6 w Turcji – pełna odbudowa uśmiechu bez kompromisów
Czym jest All on 6 i dlaczego All on 6 w Turcji zmienia wszystko
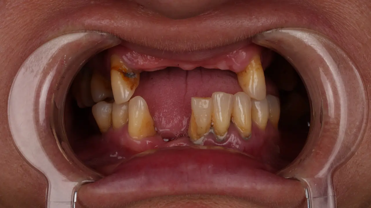
Decyzja o leczeniu metodą all on 6 w Turcji bardzo rzadko jest przypadkowa. Zazwyczaj to moment, w którym kończą się półśrodki – leczenie kanałowe, pojedyncze korony, naprawianie tego, co już dawno powinno być rozwiązane kompleksowo. Właśnie wtedy pojawia się pytanie o rozwiązanie trwałe, przewidywalne i estetyczne. I tutaj pojawia się all on 6, czyli metoda odbudowy całego łuku zębowego na sześciu implantach.
W praktyce oznacza to, że zamiast odbudowywać każdy ząb osobno, tworzona jest jedna stabilna konstrukcja oparta na sześciu implantach. Dzięki temu implanty all on 6 pozwalają na pełną rekonstrukcję uśmiechu w sposób znacznie bardziej efektywny niż tradycyjne leczenie implantologiczne. To właśnie dlatego all on 6 Turcja stało się jedną z najczęściej wybieranych opcji przez pacjentów z całej Europy.


Czym jest All on 6 i na czym polega leczenie
All on 6 to zaawansowana metoda odbudowy całego łuku zębowego na sześciu implantach dentystycznych. W praktyce oznacza to, że zamiast wszczepiać implant dla każdego brakującego zęba, lekarz umieszcza sześć implantów w strategicznych miejscach w kości, a następnie na ich podstawie mocuje stały most protetyczny.
Dzięki temu rozwiązaniu pacjent otrzymuje:
pełny, stały uśmiech
stabilną konstrukcję bez protezy ruchomej
naturalny wygląd i funkcję zgryzu
To właśnie dlatego implanty all on 6 są dziś jednym z najczęściej rekomendowanych rozwiązań przy całkowitej lub zaawansowanej utracie uzębienia.
W kontekście leczenia za granicą, szczególnie dużą popularnością cieszy się all on 6 w Turcji, gdzie procedura ta wykonywana jest w modelu kompleksowym – od diagnostyki po finalny efekt estetyczny.
Dlaczego pacjenci wybierają All on 6 Turcja zamiast leczenia w swoim kraju?
Wybór all on 6 w Turcji nie wynika wyłącznie z ceny, choć ta rzeczywiście jest istotna. Kluczowa różnica polega na podejściu do leczenia. W wielu krajach leczenie stomatologiczne jest fragmentaryczne – każdy specjalista zajmuje się swoją częścią, a efekt końcowy bywa przypadkowy. W Turcji natomiast leczenie jest projektowane jako całość. Już na początku powstaje plan, który uwzględnia nie tylko stan zębów, ale również estetykę twarzy, proporcje i końcowy efekt uśmiechu.
Dlatego all on 6 Turcja to proces, w którym od pierwszego dnia wiadomo, jaki będzie rezultat. Pacjent nie przechodzi przez miesiące niepewności, tylko ma jasno określony plan działania. To podejście znacząco zwiększa przewidywalność efektów i ogranicza ryzyko błędów.
All on 6 vs All on 4 – realna różnica
Wielu pacjentów zastanawia się nad różnicą między all on 6 a All on 4. W praktyce dodatkowe dwa implanty w metodzie all on 6 robią ogromną różnicę. Przede wszystkim zapewniają lepsze rozłożenie sił żucia, co przekłada się na większą stabilność i trwałość całej konstrukcji. Dzięki temu ryzyko przeciążenia implantów jest znacznie mniejsze.
W przypadku all on 6 Turcja standardem jest stosowanie tej metody u pacjentów, którzy oczekują maksymalnej trwałości i komfortu. All on 4 nadal jest stosowane, ale w bardziej ograniczonych przypadkach. Jeśli warunki kostne na to pozwalają, all on 6 w Turcji jest rozwiązaniem bardziej przewidywalnym długoterminowo.
All on 4 vs All on 6 – dlaczego coraz częściej rekomendujemy All on 6 w Turcji
Stabilność i trwałość – dlaczego All on 6 daje większe bezpieczeństwo
Wybór pomiędzy all on 4 a all on 6 to jedna z najważniejszych decyzji, jaką podejmuje pacjent planujący pełną rekonstrukcję uzębienia. Obie metody opierają się na tej samej koncepcji – odbudowie całego łuku zębowego na implantach – jednak różnią się stabilnością, biomechaniką oraz długoterminowym bezpieczeństwem leczenia.
W praktyce oznacza to, że choć all on 4 może być rozwiązaniem wystarczającym w wybranych przypadkach, to all on 6 w Turcji coraz częściej uznawane jest za standard bardziej zaawansowany i przewidywalny.
Kluczowa różnica – liczba implantów i rozkład sił
Podstawowa różnica pomiędzy tymi metodami jest prosta:
all on 4 opiera się na czterech implantach
all on 6 wykorzystuje sześć implantów
Jednak to, co najważniejsze, to nie sama liczba, ale sposób rozkładania obciążeń. W przypadku implantów all on 6, siły żucia są rozprowadzane bardziej równomiernie na całej konstrukcji. Dzięki temu zmniejsza się ryzyko przeciążenia pojedynczych implantów, co ma bezpośredni wpływ na trwałość całego leczenia.
Właśnie dlatego w wielu nowoczesnych klinikach all on 6 Turcja traktowane jest jako rozwiązanie bardziej stabilne biomechanicznie.
Estetyka i komfort – czy jest różnica?
Pod względem wizualnym zarówno all on 4, jak i all on 6 pozwalają osiągnąć bardzo dobry efekt estetyczny. Różnica pojawia się jednak w odczuciach pacjenta.
Dzięki większej liczbie punktów podparcia, implanty all on 6 zapewniają bardziej naturalne przenoszenie sił podczas jedzenia i mówienia. Pacjenci często opisują to jako większą „pewność” i stabilność uśmiechu.
Jednym z głównych powodów, dla których rekomendujemy all on 6 w Turcji, jest większa stabilność konstrukcji. Dodatkowe implanty oznaczają lepsze podparcie dla mostu protetycznego, co przekłada się na:
większą odporność na obciążenia
mniejsze ryzyko poluzowania konstrukcji
wyższy komfort użytkowania
W przypadku pacjentów z większym zanikiem kości lub silnym zgryzem, all on 6 daje wyraźną przewagę nad rozwiązaniem opartym na czterech implantach. To nie jest różnica „kosmetyczna” – to realna zmiana w długoterminowym bezpieczeństwie leczenia.
Dla kogo All on 4, a dla kogo All on 6
Nie oznacza to, że all on 4 jest metodą niewłaściwą. W określonych przypadkach – szczególnie przy ograniczonej ilości kości – może być jedynym możliwym rozwiązaniem bez dodatkowych zabiegów, takich jak podniesienie zatoki czy augmentacja kości.
Natomiast all on 6 Turcja jest najczęściej rekomendowane dla pacjentów, którzy:
chcą maksymalnej stabilności i trwałości
mają możliwość wykonania pełnej implantacji
oczekują rozwiązania na lata, a nie kompromisu
W praktyce klinicznej oznacza to, że jeśli warunki anatomiczne na to pozwalają, lekarze częściej wybierają all on 6 w Turcji jako rozwiązanie bardziej docelowe.
Jak wygląda leczenie All on 6 w Turcji krok po kroku
Proces all on 6 w Turcji jest zazwyczaj podzielony na dwa etapy, co pozwala na bezpieczne przeprowadzenie całego leczenia i osiągnięcie trwałego efektu. Na początku wykonywana jest dokładna diagnostyka, która obejmuje analizę zdjęć, tomografii oraz ocenę warunków kostnych. Na tej podstawie lekarz określa, czy pacjent kwalifikuje się do zabiegu oraz czy konieczne są dodatkowe procedury.
Pierwsza wizyta trwa zazwyczaj kilka dni i to właśnie wtedy wykonywana jest najważniejsza część leczenia. W trakcie jednego pobytu usuwane są zęby (jeśli jest taka potrzeba), wszczepiane są implanty all on 6, a następnie zakładany jest most tymczasowy. To moment, w którym pacjent wychodzi z kliniki z nowym uśmiechem, co dla wielu osób jest ogromnym przełomem psychologicznym.
Po tej wizycie następuje okres gojenia, który trwa od trzech do sześciu miesięcy. W tym czasie implanty integrują się z kością, co jest kluczowe dla trwałości całej konstrukcji. Następnie pacjent wraca na drugą wizytę, podczas której zakładane są finalne korony – najczęściej wykonane z cyrkonu. To etap, w którym dopracowywana jest estetyka i funkcjonalność uśmiechu.
Dla kogo All on 6 w Turcji jest najlepszym rozwiązaniem
Metoda all on 6 Turcja jest szczególnie polecana osobom, które mają rozległe problemy z uzębieniem. Dotyczy to zarówno pacjentów całkowicie bezzębnych, jak i tych, u których zęby są w tak złym stanie, że ich odbudowa nie ma sensu. W wielu przypadkach jest to również najlepsza opcja dla osób noszących protezy ruchome, które chcą wreszcie odzyskać komfort życia.
Warto podkreślić, że implanty all on 6 są często jedynym rozwiązaniem, które pozwala uniknąć wieloetapowego i kosztownego leczenia pojedynczych zębów. Zamiast inwestować w kolejne zabiegi, które nie dają trwałego efektu, pacjent decyduje się na jednorazową, kompleksową zmianę.
Efekt estetyczny All on 6 Turcja – dlaczego wygląda naturalnie
Koszt all on 6 w Turcji jest znacząco niższy niż w krajach Europy Zachodniej, jednak nie wynika to z niższej jakości. Różnice wynikają przede wszystkim z kosztów prowadzenia działalności, skali działania klinik oraz liczby wykonywanych zabiegów.
W praktyce pacjent otrzymuje kompleksową usługę, która obejmuje nie tylko leczenie, ale również organizację całego pobytu. Dlatego all on 6 Turcja jest rozwiązaniem, które łączy wysoką jakość z rozsądną ceną.
Ile kosztuje All on 6 w Turcji i skąd wynikają różnice?
Decyzja o pełnej rekonstrukcji uzębienia to jeden z najważniejszych momentów w całym procesie leczenia. Pacjenci, którzy trafiają na rozwiązanie takie jak all on 6, bardzo szybko zauważają ogromne różnice cenowe pomiędzy krajami. Szczególnie często pojawia się pytanie: dlaczego all on 6 w Turcji kosztuje nawet kilkukrotnie mniej niż w Polsce czy Europie Zachodniej i czy za niższą ceną idzie kompromis jakości?
To właśnie w tym miejscu zaczyna się największe nieporozumienie. Wbrew popularnym opiniom, niższy koszt all on 6 Turcja nie wynika z gorszych materiałów czy niższego standardu leczenia. Różnica wynika z zupełnie innego modelu funkcjonowania klinik, ich skali oraz sposobu organizacji całego procesu. W Turcji leczenie implantologiczne jest wyspecjalizowaną usługą realizowaną na dużą skalę, co bezpośrednio przekłada się na finalną cenę dla pacjenta.
Dla osoby rozważającej all on 6 w Turcji kluczowe jest zrozumienie, że nie porównujemy pojedynczych zabiegów, ale dwa zupełnie różne systemy leczenia. W Polsce większość elementów wyceniana jest osobno – od implantów, przez protetykę, aż po diagnostykę. W Turcji natomiast pacjent otrzymuje kompleksowy pakiet, który obejmuje cały proces – od pierwszego dnia w klinice aż po finalny efekt.
Poniżej masz czytelne zestawienie różnic kosztowych na podstawie realnych danych z rynku:
All on 6 – Polska vs Turcja
| Zakres leczenia | Polska 🇵🇱 | Turcja 🇹🇷 |
|---|---|---|
| All on 6 – jedna szczęka | 80 000 – 120 000 zł | 6 000 – 10 000 € |
| All on 6 – dwie szczęki | 160 000 – 240 000 zł | 10 000 – 18 000 € |
| Implanty (6 szt.) | osobno liczone | w pakiecie |
| Praca protetyczna (pełny łuk) | osobno | w cenie |
| Diagnostyka (CBCT, planowanie) | często dodatkowo płatna | w cenie |
| Tymczasowe zęby | dodatkowy koszt | w cenie |
| Organizacja leczenia | brak | w cenie (koordynator, transfery) |
| Zakwaterowanie | brak | w cenie |
Skąd realnie biorą się te różnice?
Patrząc na powyższe zestawienie, łatwo zauważyć, że all on 6 Turcja to nie tylko niższa cena, ale przede wszystkim inny sposób budowania oferty. W Polsce pacjent bardzo często dopłaca do każdego elementu leczenia osobno, co powoduje, że finalny koszt rośnie wraz z każdym etapem. W Turcji natomiast większość tych elementów jest już zawarta w jednej, kompleksowej cenie.
Kolejnym kluczowym czynnikiem jest skala. Kliniki specjalizujące się w all on 6 w Turcji wykonują tego typu procedury niemal codziennie, co pozwala im zoptymalizować zarówno czas pracy, jak i koszty operacyjne. Lekarze skupiają się na konkretnych procedurach, dzięki czemu osiągają bardzo wysoką powtarzalność i przewidywalność efektów.
Nie bez znaczenia są również koszty prowadzenia działalności. Utrzymanie kliniki, personelu czy zaplecza technologicznego w Turcji jest po prostu tańsze niż w krajach Europy Zachodniej. To właśnie ten element, a nie jakość materiałów, odpowiada za dużą część różnicy w cenie all on 6 Turcja.
Co to oznacza dla pacjenta?
Z perspektywy pacjenta oznacza to jedno: wybierając all on 6 w Turcji, nie kupujesz „tańszej wersji leczenia”, tylko korzystasz z systemu, który został zoptymalizowany pod kątem kompleksowych rekonstrukcji uzębienia. Otrzymujesz gotowy proces – od diagnostyki, przez zabieg, aż po finalne korony – bez konieczności organizowania wszystkiego samodzielnie.
To właśnie dlatego all on 6 Turcja stało się jednym z najczęściej wybieranych rozwiązań przez pacjentów z całej Europy. Kluczowe jest jednak jedno – wybór odpowiedniej, sprawdzonej kliniki, która pracuje na certyfikowanych materiałach i ma doświadczenie w pełnych rekonstrukcjach.
Najczęstsze błędy przy wyborze All on 6 w Turcji
Decydując się na all on 6 w Turcji, warto unikać podstawowych błędów. Najczęstszym z nich jest kierowanie się wyłącznie ceną. Równie problematyczny jest brak analizy planu leczenia oraz brak informacji o używanych materiałach.
W praktyce to właśnie te elementy decydują o trwałości i jakości efektu końcowego. Dlatego wybór powinien być oparty na wiedzy, a nie na emocjach.
Jak zmienia się życie po All on 6
Efekt leczenia all on 6 Turcja to nie tylko zmiana wyglądu. To zmiana codziennego funkcjonowania. Pacjenci odzyskują możliwość normalnego jedzenia, przestają odczuwać dyskomfort i zaczynają funkcjonować bez ograniczeń, które wcześniej były dla nich codziennością.
To właśnie dlatego tak wiele osób mówi, że decyzja o all on 6 w Turcji była jedną z najlepszych w ich życiu.
